Ratings & Reviews performance provides an overview of what users think of your app. Here are the key metrics to help you identify how your app is rated by users and how successful is your review management strategy.
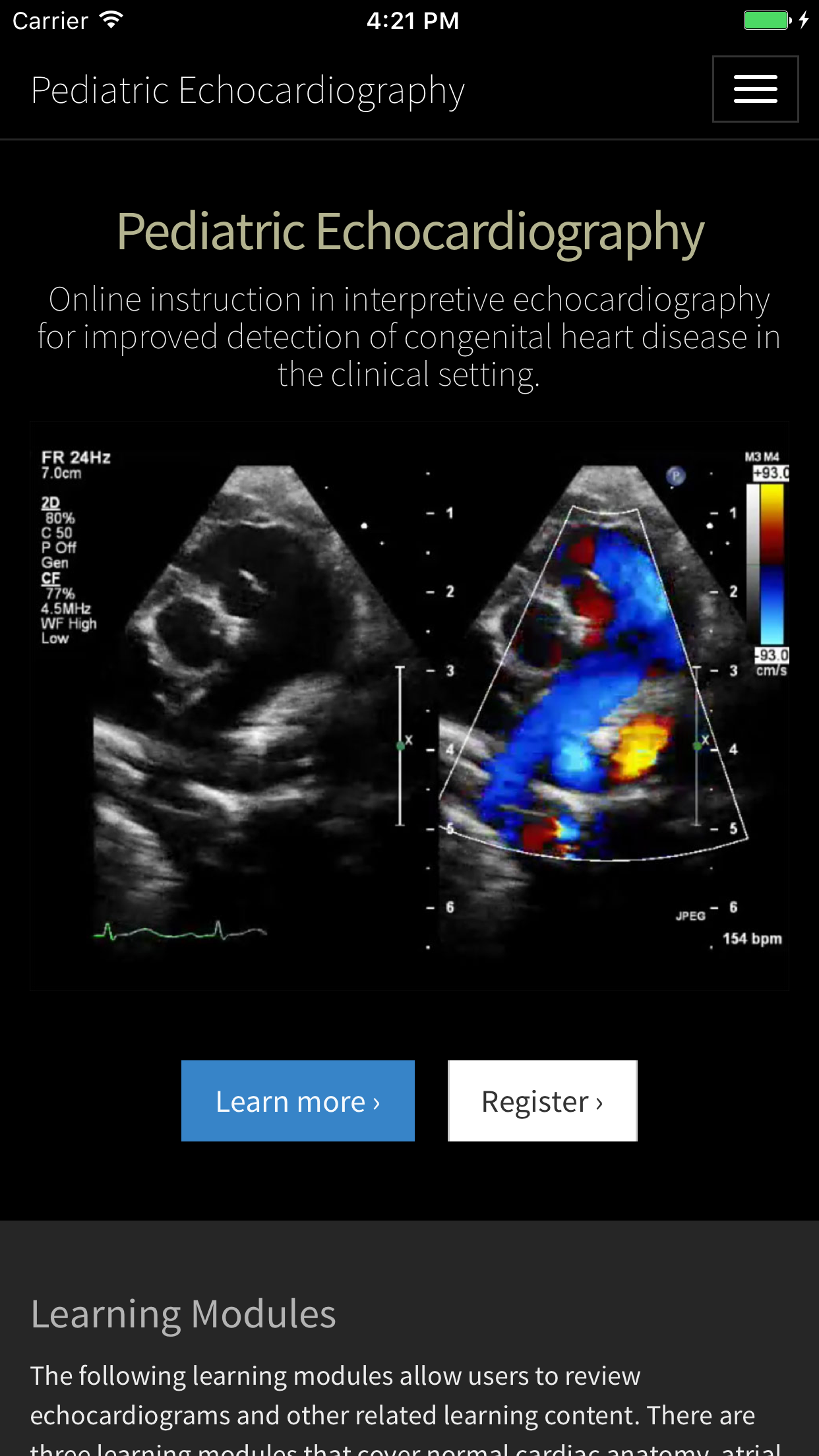
Echocardiography has become an essential technology and is utilized by the majority of pediatric cardiologists. It serves as an indispensible tool in the diagnosis and treatment of congenital heart disease. It involves mastering a complex skill set made up of two key components: procedural echocardiography and interpretive echocardiography. The goal of this app is to provide a background in interpretive echocardiography in the setting of basic and complex congenital heart disease. Congenital heart disease (CHD) is a spectrum of disease from a small hole in the heart to very complex congenital abnormalities. Training physicians and sonographers in echocardiography is a challenge. Cardiologists are expected to not only master a procedural skill, but they are also faced with the challenging task of interpreting those images. Because some types of CHD are quite rare, it is often difficult for trainees in smaller institutions to get exposed to these rare variants. *** Educational Objectives *** - To provide comprehensive training in interpretive echocardiography. - To expose trainees to all variants of congenital heart disease and their subtypes. - To provide a better understanding of normal echocardiographic anatomy. - To allow an interactive approach to reviewing and identifying echocardiographic examples of normal anatomy and congenital heart disease. - To ultimately allow for better identification of cardiac pathology in the clinical setting. *** Target Audience *** This app is meant to serve as an learning resource for medical students, residents, cardiology fellows, cardiologists and sonographers. It provides a comprehensive echo imaging database of fetal and transthoracic echocardiography. In addition, three introductory learning modules (normal anatomy, atrial septal defects and ventricular septal defects) are offered along with with pre and post testing to assess the user’s baseline knowledge and improvement following completion of the learning modules. All answers and scores on the pre and post test are provided to the user upon completion of the post test (the post test becomes available once all views from all three modules have been viewed).
