Ratings & Reviews performance provides an overview of what users think of your app. Here are the key metrics to help you identify how your app is rated by users and how successful is your review management strategy.
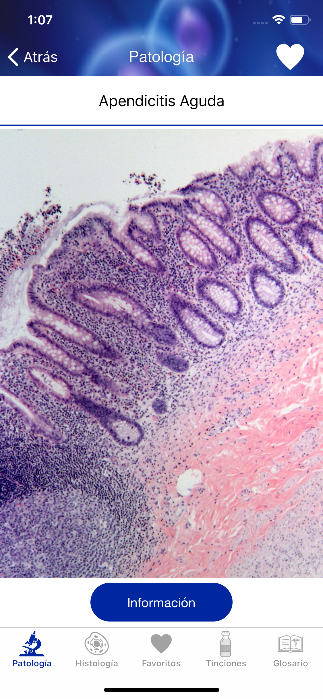
Patología Clínica es una herramienta fácil e indispensable para todo aquel que quiera conocer e interpretar los cortes patológicos e histológicos al microscopio de los diferentes órganos y sistemas del cuerpo humano. Incluye tinciones y un amplio glosario de términos de Patología. Todos las imágenes contienen una descripción completa y detallada de cada corte en la sección de información, así como la opción de hacerles acercamiento para una observación más completa. Incluye: -Cortes Patológicos: -Adenocarcinoma de Glándula Mamaria -Adenoma de Tiroides -Amibiasis del Colon -Amiloidosis Renal -Apendicitis Aguda -Ateroma de la Aorta -Calcificación del Infarto Placentario -Calcificación de la Media Arterial -Carcinoma "in situ" de Cérvix Uterino -Carcinoma invasor de Cérvix Uterino -Coccidioidomicosis de Ganglio Linfático -Colestasis Intrahepática -Condiloma Acuminado -Congestión, Edema y Antracosis de Pulmón -Degeneración Hidrópica de Riñón -Endocarditis Bacteriana -Enterobiasis del Apéndice -Esteatosis Hepática -Fibroadenoma de Glándula Mamaria -Glomerulopatía Lúpica -Hiperplasia Difusa de Tiroides -Hiperplasia Nodular de la Próstata -Hipertrofia Gravídica de Útero -Infarto Agudo de Miocardio -Leiomioma de Útero -Lepra -Linfadenopatía de VIH -Linfoma de Hodgkin -Lipoma -Meningitis Aguda -Metaplasia Escamosa de Bronquio -Micetoma -Miocarditis -Mucormicosis Rinocerebral -Necrosis Caseosa de Ganglio Linfático -Necrosis Enzimática de Páncreas -Necrosis Isquémica de Pulmón -Neumonia Lobar Aguda -Nevo Intradérmico -Osteocondroma -Osteosarcoma -Pericarditis Serofibrinosa Aguda -Pielonefritis Aguda -Pielonefritis Crónica -Pólipo de la Rinitis Alérgica -Salpingitis Tuberculosa -Tiroiditis de Hashimoto -Trombosis Venosa -Tuberculosis Pulmonar -Cortes Histológicos: -Amígdala Palatina -Apéndice -Bazo -Cerebelo -Cerebro -Colon -Endometrio -Esófago -Estómago -Ganglio linfático -Glándula Mamaria -Glándula submaxilar -Glándula Suprarrenal -Hígado -Hipófisis -Hueso Compacto -Hueso Esponjoso -Intestino delgado -Médula Espinal -Miocardio -Miométrio -Mucosa Nasal -Páncreas -Piel -Plexos Coroides -Pulmón -Riñón -Sangre Periférica -Timo -Tiroides -Trompa uterina -Útero -Vasos Sanguíneos -Vejiga Mucosa Vesical -Vesícula biliar -Tinciones: -Azul Alcian -Gram -Hematoxilina & Eosina -Inmunohistoquímica -May Grunwald-Giemsa -Mucicarmín -PAS -Rojo Congo -Sudán IV -Tricrómica de Gomori -Tricrómica de Masson -Wright -Ziehl -Glosario Patológico Comentarios y Sugerencias http://maddevsoftware.wordpress.com Soporte Técnico Contáctanos a maddevsoft@hotmail.com
