Ratings & Reviews performance provides an overview of what users think of your app. Here are the key metrics to help you identify how your app is rated by users and how successful is your review management strategy.
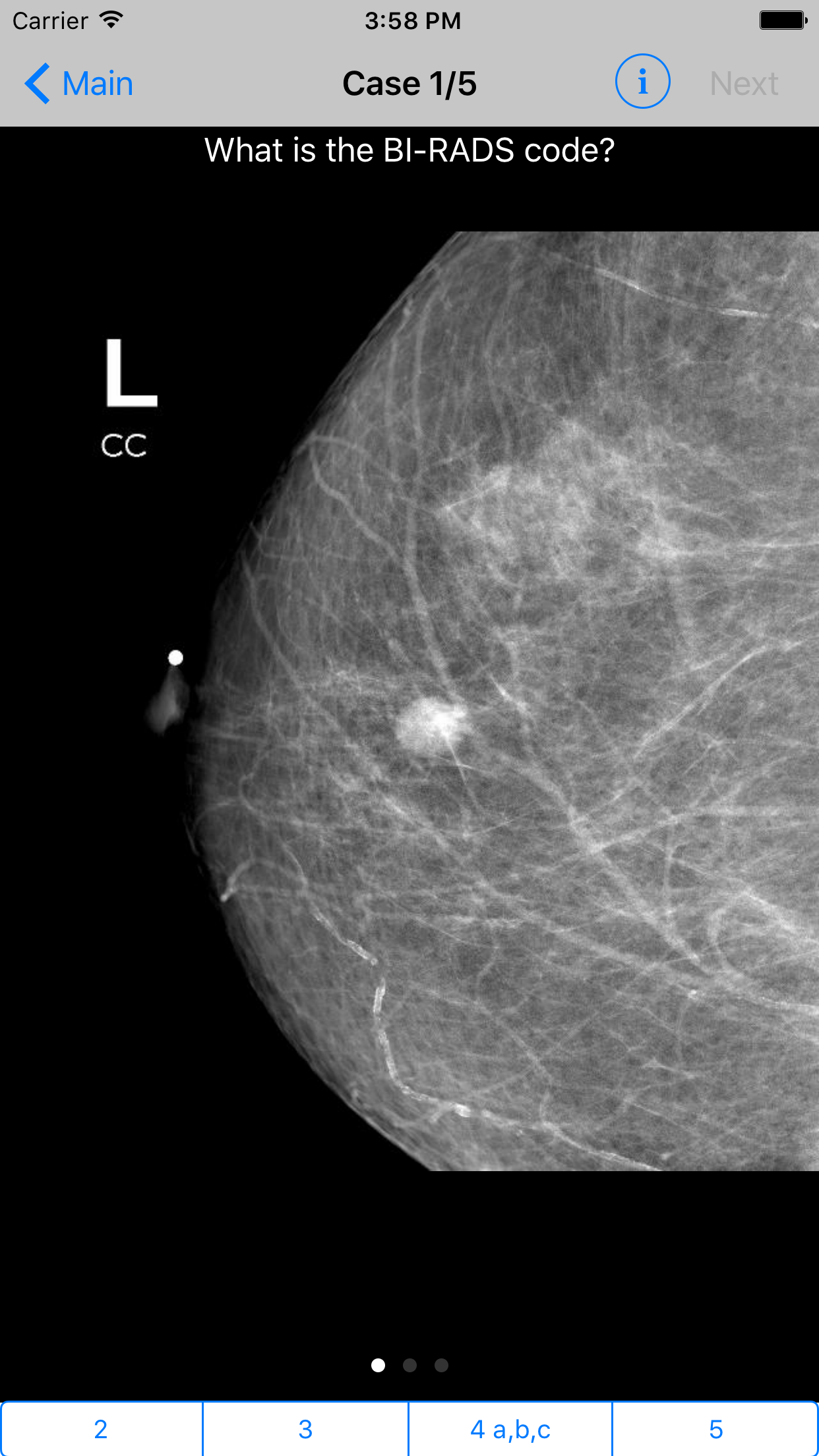
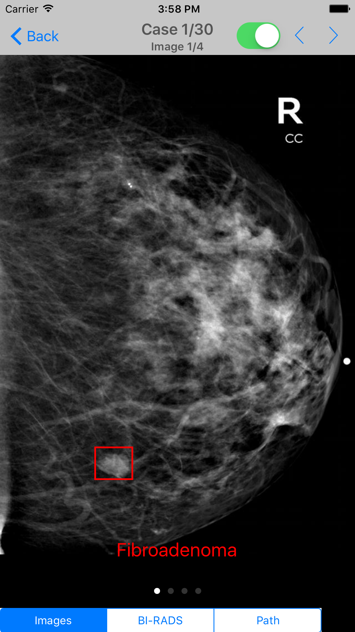
The app is now free and we present it as a gift to the Radiologic community that helped train us. 50 mammography cases are presented as a mini atlas. Experts have become that way by seeing many abnormal studies. We present these cases with the idea that a busy resident or attending may only have a few minutes to look at an app. Images can be viewed and sorted by general pathology, appearance, or BIRADS category. Two different quiz modes are available to test your knowledge of the images and general mammography. Learning is presented dynamically. The ipod/ iphone interface makes learning interesting and fun. The touch screen adds the interactivity that can't be found in a static textbook. This application is meant as a teaching tool for medical professionals.
