Ratings & Reviews performance provides an overview of what users think of your app. Here are the key metrics to help you identify how your app is rated by users and how successful is your review management strategy.
User reviews affect conversion to installs and app rating. Featured and helpful reviews are the first to be noticed by users and in case of no response can affect download rate.
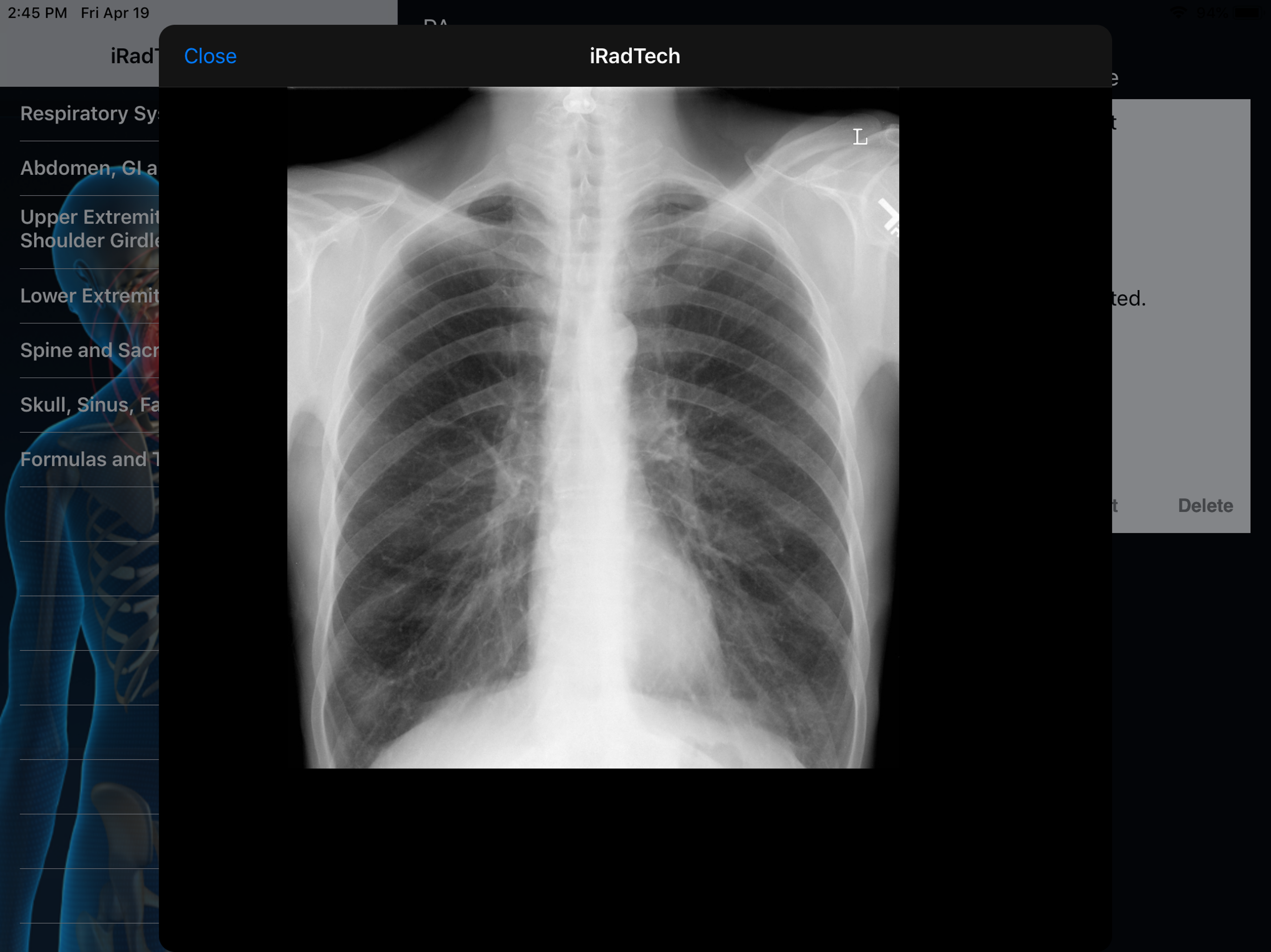
iRadTech HD for the iPad iRadTech HD is a radiographic positioning guide for medical imaging professionals and students. It is designed for use on iPads where the Menu, Instructions and Note panels appear simultaneously in landscape orientation. The initial download is a locked version containing 6 free positions allowing the user to evaluate the app. By clicking on a position name showing a lock icon you will be prompted to unlock the app with an In-app purchase. Honestly, the developer, RadTech Resource Group, encourages you to consider buying iRadTech instead of this iRadTech HD because iRadTech has more features, namely Search, My Notes and My Routines. Get iRadTechLite for FREE to see these features. If iRadTech is not shown in the store on your iPad, select Filters, Supports, iPhone. iRadTech HD v4.1 includes: •6 free Radiographic positions with 200+ once unlocked. •Detailed positioning instructions, image quality points and structures demonstrated - Now also includes suggested technical factors (for digital imaging systems) •Expandable positioning images. •Expandable radiographs. •A Notes panel where you can create and edit separate notes for each position Positioning instructions subheadings: •Technical factors •Image receptor •Position of patient •Position of body part •Breathing instructions •Central ray placement and angle •Image quality points •Structures demonstrated If you have any questions or concerns please feel free to email us at info@iradtech.com. You may visit our website at www.iRadTech.com.
