Ratings & Reviews performance provides an overview of what users think of your app. Here are the key metrics to help you identify how your app is rated by users and how successful is your review management strategy.
User reviews affect conversion to installs and app rating. Featured and helpful reviews are the first to be noticed by users and in case of no response can affect download rate.
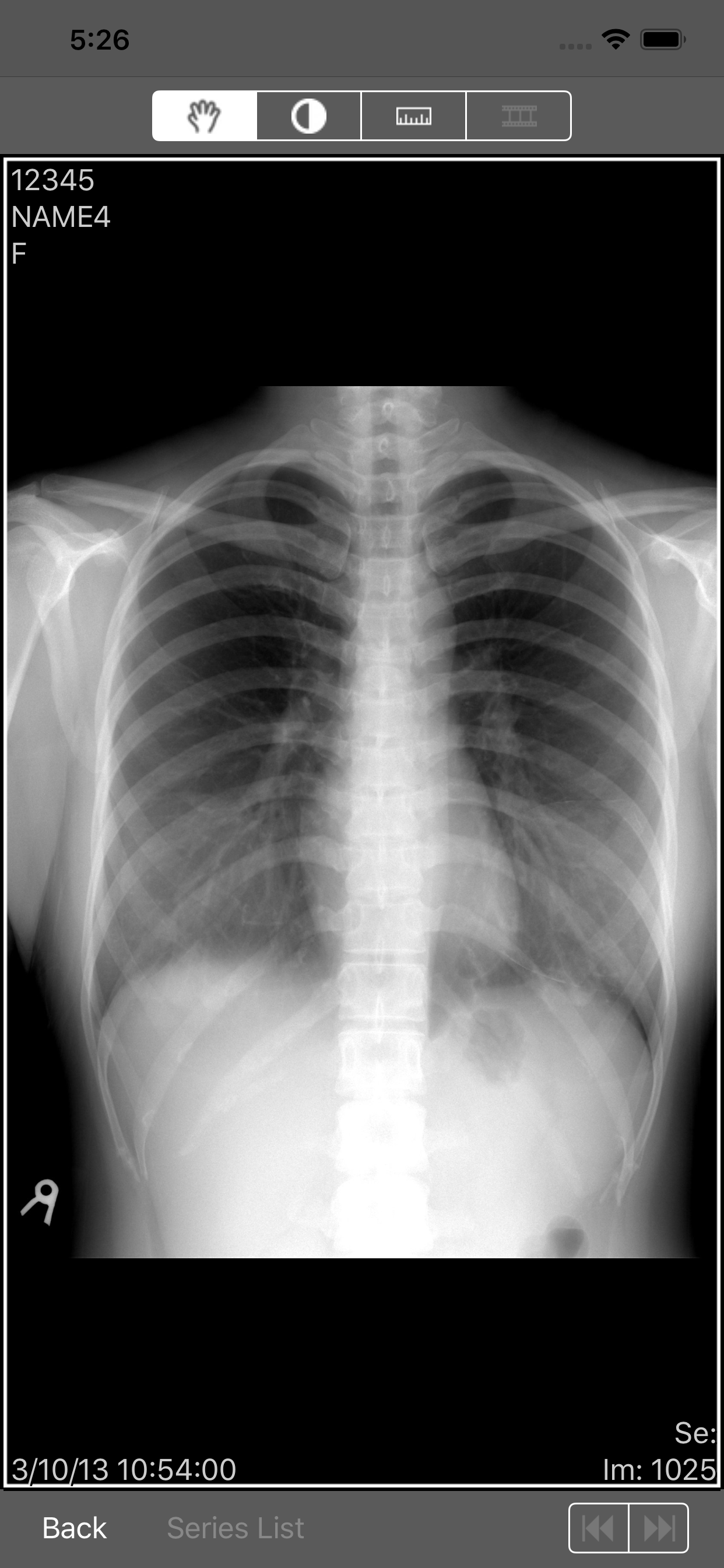
iDO medical image viewer is quickly becoming the next generation in mobile medical image viewing by combining multi-modality imaging with individualized physician workflow. iDO Viewer allows facilities to retrieve multi-modality images from their existing EBM PACS server or a 3rd party PACS server and display the content on the iPad and iPhone. Additionally, the iDO server can receive other images/file formats, such as JPG, BMP, and PDF from the adjacent information systems and display the files in an organized fashion for general physicians to view. Features include: • Support for all modalities (CR, ECG/EKG, DR, CT, MR, US, XA, NM, etc) • Quick layout adjustment (1x1, 2x1 etc) • Fast image and data access over 3G or Wi-Fi • Pan • Zoom • Window Level • Manual Slider bar • Multi-Server capable • Measurement (e.g. length) • DICOM PDF • Auto Cine Future features • Physician Specific worklist • Customizable Physician driven workflow • Collaborative Patient record access This application requires the EBM iDO server and the medical images displayed in this product are not intended for diagnostic purposes. Please download the free application that is connected to an EBM iDO demo server to view sample data and basic features. For additional information or information on purchasing the full workflow and imaging viewing solution, please click the links below to request more information from an EBM Account representative. Ver 1.1.18 1. Support iOS 14 Ver 1.1.15 1. Support iOS 13 Ver 1.1.5 1. Support iPhone X, iPad Pro 12.9-inch (3rd generation) 2. Support iOS 12 Ver 1.1.3 1. Integration with ShareMi Server Ver 1.1.1 1. Support iOS 7 2. Support Bar Code Scanning Ver 1.0.8 1. Support Window Level, Line Measurement and Cine Loop function for iPhone version. 2. Image layout settings will be saved and recalled next time automatically. 3. Multi-frame Images will start the cine loop automatically after downloading. 4. Add "Play", "Previous frame" and "Next frame" buttons. 5. Add "When you close application, close the study automatically" setting. 6. Add "When you close the study, delete the cache automatically" setting. Ver 1.0.4 1. Support iOS 6 and iPhone 5 2. Support Cine Loop 3. Support Line Measurement Ver 1.0.3 1. Support iDO Gateway Server Ver 1.0.2 1. Support Evidence Document (such as PDF, QuickTime, and MPEG4 Video) 2. Integration with the App, "Dr. Reminder" Ver 1.0.1 1. Support integration with Web Page or 3rd party App via URL Schemes
